آزمون آسکی یکی از مراحل اصلی اخذ مدرک بورد تخصصی است. پزشکان محترم پس از اخذ گواهینامه تخصص خود، امکان شرکت در آزمون دانشنامه (بورد) را پیدا می کنند. آزمون بورد شامل دو مرحله است؛ مرحله اول به صورت کتبی و مرحله دوم به صورت شفاهی (آسکی) برگزار می گردد. در واقع این آزمون نه تنها دانش نظری پزشکان را سنجش می کند، بلکه به دنبال فرایندی است که داوطلبان از طریق فضای آزمون شبیه سازی شده، خود را دقیقا مقابل بیمار تصور کنند.
آمادگی برای آزمون آسکی (شفاهی)
برای کسب موفقیت در آزمون آسکی، بایستی بر هر 2 مرحله ی کتبی و شفاهی آزمون تمرکز کنید. پیشنهاد موسسه رهپویان شریف به شما داوطلبین محترم، بهره گیری از انواع منابع طراحی شده برای آمادگی در آزمون بورد تخصصی است. این منابع شامل کتب و محتوای دیجیتال (هوشمند) برند معتبر رهپویان شریف است.
همچنین مطالعه ی نمونه سوالات آزمون آسکی یکی دیگر از راهکارهای پیشنهادی ما می باشد. این نمونه سوالات در مجموعه کتب آسکی گردآوری شده و به صورت تشریحی و با رویکردی جامع پاسخ داده شده است. بنابراین با مراجعه به این کتب به گنجینه ای معتبر از نمونه سوالات آزمون آسکی دسترسی خواهید داشت. همچنین شرکت در آزمون های شبیه سازی شده PMP نیز، شرایط ایجاد آمادگی برای آزمون آسکی را فراهم می آورد؛ زیرا موسسه رهپویان شریف، دقیقا از همان سامانه وزارت خانه برای برگزاری آزمون های PMP/KFP بهره برده است.
در ادامه ی این مقاله نمونه ای از سوالات آزمون آسکی در رشته های نورولوژی، زنان، ارتوپدی، روانشناسی و اورولوژی را در اختیار شما داوطلبین محترم آزمون آسکی قرار می دهیم.
نمونه سوالات آزمون آسکی در رشته های مختلف
نمونه سوالات آزمون آسکی در رشته نورولوژی
سندرم وست و لنوکس در زمینه ی توبروس اسکلروزیس
شیرخوار 8 ماهه به دلیل حرکات ناگهانی و مکرر فلکشن و گاه اکستنشن سر و تنه و بازوها که هر نوبت 10 الی 15 بار پشت سر هم به صورت کلاستر اتفاق می افتد و در روز چندین نوبت تکرار می شود، به کلینیک شما ارجاع شده است. کودک فرزند اول خانواده و حاصل زایمان طبیعی است، آپگار زمان تولد نرمال بوده است و سیر تکاملی او تا پیش از شروع حرکات فوق نرمال بوده است. پدر و مادر کودک منسوب هستند.
1) در معاینه کودک احتمالا کدام یک از یافته های زیر وجود دارد؟
| گزینه | بازخورد | نمره انتخاب | عدم انتخاب | مرگ | |
| Port wine hemangioma در پلک فوقانی | Port wine hemangioma در پلک فوقانی | 2.00 | 0.00 | ||
| ماکول های هیپوپیگمانته (هیپوملانوتیک) روی تنه | ماکول های هیپوپیگمانته (هیپوملانوتیک) روی تنه | 2.00 | 0.00 | ||
| Lisch nodules در عنبیه | Lisch nodules در عنبیه | -2.00 | 0.00 | ||
| Sebaceous adenoma روی بینی | Sebaceous adenoma روی بینی | -4.00 | 0.00 |
2) ضایعه پوستی زیر روی تنه و بازوهای شیرخوار یافت شده است. این یافته مطابق با کدام یک از گزینه ها می باشد؟
| گزینه | بازخورد | نمره انتخاب | عدم انتخاب | مرگ | |
| Café au lait spot | Café au lait spot | -1.00 | 0.00 | ||
| Shagreen patch | Shagreen patch | -1.00 | 0.00 | ||
| Ash leaf spot | Ash leaf spot | 1.00 | 0.00 | ||
| Port wine hemangioma | Port wine hemangioma | -1.00 | 0.00 | ||
| Xanthelasma | Xanthelasma | -1.00 | 0.00 |
3) با توجه به تشخیص مطرح برای بیمار، جهت ارزیابی علت حرکات مشهود در بیمار، کدام اقدام پاراکلینیکی را پیشنهاد می کنید؟
| گزینه | بازخورد | نمره انتخاب | عدم انتخاب | مرگ | |
| ام آر آی مغز با پروتکل اپی لپسی | ام آر آی مغز با پروتکل اپی لپسی | 2.00 | 0.00 | ||
| سی تی اسکن مغز بدون تزریق | سی تی اسکن مغز بدون تزریق | 2.00 | 0.00 | ||
| EEG خواب | EEG خواب | 2.00 | 0.00 | ||
| بیوپسی از ضایعه پوستی بیمار | بیوپسی از ضایعه پوستی بیمار | -2.00 | 0.00 | ||
| بیوپسی عضله از نظر red ragged fiber | بیوپسی عضله از نظر red ragged fiber | -2.00 | 0.00 |
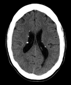
4) با توجه به عدم تمایل خانواده برای انجام ام آر آی تحت بیهوشی، جهت شیرخوار سی تی اسکن مغز بدون تزریق انجام می شود:
یافته فوق را توصیف کنید.
| گزینه | بازخورد | نمره انتخاب | عدم انتخاب | مرگ | |
| یافته فوق در شیرخواران واریاسیون نرمال است. | یافته فوق در شیرخواران واریاسیون نرمال است. | -2.00 | 0.00 | ||
| Germinal matrix hemorrhage مطرح است. | Germinal matrix hemorrhage مطرح است. | -1.00 | 0.00 | ||
| Brain stone مشهود است. | Brain stone مشهود است. | 2.00 | 0.00 | ||
| Tram Track sign دوطرفه دارد. | Tram Track sign دوطرفه دارد. | -1.00 | 0.00 | ||
| سی تی اسکن بیمار به نفع هیپرپاراتیروییدی است. | سی تی اسکن بیمار به نفع هیپرپاراتیروییدی است. | -1.00 | 0.00 | ||
| یافته مشابه در fahr disease مشهود است. | یافته مشابه در fahr disease مشهود است. | -1.00 | 0.00 |
نمونه سوالات آزمون آسکی در رشته زنان
دختر خانم 16 ساله با شکایت عدم شروع قاعدگیها به صورت اولیه مراجعه کرده است.
الف) در شرح حال به کدامیک از موارد زیر توجه میکنید؟
| گزینه | بازخورد | نمره انتخاب | عدم انتخاب | مرگ | |
| سابقه خانوادگی شروع قاعدگی | سابقه خانوادگی شروع قاعدگی | اندیکاسیون ندارد. | -2.00 | 0.00 | |
| وجود یا عدم وجود دردهای سیکلیک | وجود یا عدم وجود دردهای سیکلیک | ندارد. | 1.00 | 0.00 | |
| علائم هایپرآندروژنیسم | علائم هایپرآندروژنیسم | ندارد. | 1.00 | 0.00 | |
| خروج شیر از پستانها | خروج شیر از پستانها | ندارد. | 1.00 | 0.00 | |
| وجود گرگرفتگی و تعریق شبانه | وجود گرگرفتگی و تعریق شبانه | ندارد. | -1.00 | 0.00 | |
| بیماریهای زمینهای | بیماریهای زمینهای | کاهش مختصر شنوایی | 1.00 | 0.00 | |
| life style | life style | ورزش سنگین یا کاهش وزن شدید نداشته است. | 1.00 | 0.00 | |
| ارزیابی از نظر وجود یا عدم وجود ضایعات پوستی | ارزیابی از نظر وجود یا عدم وجود ضایعات پوستی | اندیکاسیون ندارد. | -2.00 | 0.00 |
ب) کدامیک از معاینات یا پاراکلینیکهای زیر را به صورت اولیه درخواست میکنید؟
| گزینه | بازخورد | نمره انتخاب | عدم انتخاب | مرگ | |
| ارزیابی دستگاه تناسلی خارجی | ارزیابی دستگاه تناسلی خارجی | نرمال زنانه | 1.00 | 0.00 | |
| بررسی سن استخوانی | بررسی سن استخوانی | اندیکاسیون ندارد. | -2.00 | 0.00 | |
| سونوگرافی رحم و تخمدانها | سونوگرافی رحم و تخمدانها | رحم infantile و تخمدانهای نواری | 1.00 | 0.00 | |
| BHCG | BHCG | منفی | 1.00 | 0.00 | |
| FSH | FSH | IU/L 40 | 1.00 | 0.00 | |
| PRL – TSH | PRL – TSH | نرمال | 1.00 | 0.00 | |
| 17 OHP | 17 OHP | در این مرحله اندیکاسیون ندارد. | -2.00 | 0.00 | |
| کاریوتیپ | کاریوتیپ | در این مرحله اندیکاسیون ندارد. | -2.00 | 0.00 | |
| AMH | AMH | در این مرحله اندیکاسیون ندارد. | -2.00 | 0.00 |
ج) باتوجه به آزمایشات و بررسیهای اولیه انجام شده کدامیک از درخواستهای زیر صحیح است؟
| گزینه | بازخورد | نمره انتخاب | عدم انتخاب | مرگ | |
| Brain MRI | Brain MRI | اندیکاسیون ندارد. | -2.00 | 0.00 | |
| Pelvic MRI | Pelvic MRI | اندیکاسیون ندارد. | -2.00 | 0.00 | |
| کاریوتیپ | کاریوتیپ | 46 XO – 46 XX | 2.00 | 0.00 |
د) باتوجه به تشخیص کدامیک از ارزیابیهای زیر در این بیمار اندیکاسیون دارد؟
| گزینه | بازخورد | نمره انتخاب | عدم انتخاب | مرگ | |
| اکوکاردیوگرافی | اکوکاردیوگرافی | اندیکاسیون دارد. | 2.00 | 0.00 | |
| سونوگرافی کلیهها | سونوگرافی کلیهها | اندیکاسیون دارد. | 1.00 | 0.00 | |
| MRI لگن | MRI لگن | اندیکاسیون ندارد. | -3.00 | 0.00 | |
| آنتی اندمیزیال آنتی بادی | آنتی اندمیزیال آنتی بادی | اندیکاسیون دارد. | 1.00 | 0.00 | |
| گنادکتومی | گنادکتومی | اندیکاسیون ندارد. | -3.00 | 0.00 | |
| Cr – FBS | Cr – FBS | اندیکاسیون دارد. | 1.00 | 0.00 | |
| LFT | LFT | اندیکاسیون دارد. | 1.00 | 0.00 |
نمونه سوالات آزمون آسکی در رشته ارتوپدی
آقای 33 ساله به دنبال سقوط از ارتفاع 2 متری با درد مچ دست راست و تورم مراجعه کرده است. در معاینه تندرنس شدید و پارستزی 3 انگشت اول دارد.
الف) در رادیوگرافی بیمار کدام موارد مشهود است؟
| گزینه | بازخورد | نمره انتخاب | عدم انتخاب | مرگ | |||
| disruption of gilula lines | disruption of gilula lines | 1.00 | 0.00 | ||||
|
Spilled teapot sign |
Spilled teapot sign | 1.00 | 0.00 | ||||
| Scaphoid fx | Scaphoid fx | 0.00 | 0.00 | ||||
| carpal collapse | carpal collapse | 1.00 | 0.00 | ||||
| Cortical ring sign | Cortical ring sign | 0.00 | 0.00 | ||||
| triangular lunate Appearance | triangular lunate Appearance | 1.00 | 0.00 | ||||
| DJD در Scaphoid fossa | DJD در Scaphoid fossa | 0.00 | 0.00 | ||||
| DISI | DISI | 0.00 | 0.00 |
ب) طبق طبقه بندی may field در کدام stage قرار دارد؟
| گزینه | بازخورد | نمره انتخاب | عدم انتخاب | مرگ | |
| I | I | 0.00 | 0.00 | ||
| II | II | 0.00 | 0.00 | ||
| III | III | 0.00 | 0.00 | ||
| IV | IV | 3.00 | 0.00 |
ج) اولین اقدام کدام است؟
| گزینه | بازخورد | نمره انتخاب | عدم انتخاب | مرگ | |
| جا اندازی بسته اورژانس | جا اندازی بسته اورژانس | 4.00 | 0.00 | ||
| CT Scan | CT Scan | 0.00 | 0.00 | ||
| جا اندازی باز به صورت اورژانسی | جا اندازی باز به صورت اورژانسی | 0.00 | 0.00 | ||
| جا اندازی باز و ترمیم لیگامان ها طی حداکثر 48 ساعت | جا اندازی باز و ترمیم لیگامان ها طی حداکثر 48 ساعت | 0.00 | 0.00 |
د) برای بیمار CR انجام شد و پس از آن علائم عصبی بیمار برطرف شد. X ray پس از CR را ملاحظه میکنید. قدم بعد چیست؟
| گزینه | بازخورد | نمره انتخاب | عدم انتخاب | مرگ | |
| جراحی باز و ترمیم لیگامانی از اپروچ ولار | جراحی باز و ترمیم لیگامانی از اپروچ ولار | 0.00 | 0.00 | ||
| جراحی باز و ترمیم لیگامانی و آزادسازی عصب مدیان از اپروچ ولار | جراحی باز و ترمیم لیگامانی و آزادسازی عصب مدیان از اپروچ ولار | 0.00 | 0.00 | ||
| جراحی باز و ترمیم لیگامانی از اپروچ دورسال | جراحی باز و ترمیم لیگامانی از اپروچ دورسال | 4.00 | 0.00 | ||
| باتوجه به ریداکشن قابل قبول Casting به مدت 12 هفته | باتوجه به ریداکشن قابل قبول Casting به مدت 12 هفته | -4.00 | 0.00 | ||
| جراحی باز و ترمیم لیگامانی و آزادسازی عصب مدیان با 2 اپروچ ولار و دورسال | جراحی باز و ترمیم لیگامانی و آزادسازی عصب مدیان با 2 اپروچ ولار و دورسال | 0.00 | 0.00 |
نمونه سوالات آزمون آسکی در رشته روانپزشکی
اضطراب پانیک
بیمار خانم جوانی به دلیل تپش قلب، درد قفسه سینه، احساس خفگی، تعریق و تهوع برای اولین بار مراجعه کرده است. بیمار به دنبال مشاجره در خانه، دچارحملات فوق شده است.
الف) در برخورد با ایشان کدام اقدامات صحیح است؟
|
|
||
|
|
| گزینه | بازخورد | نمره انتخاب | عدم انتخاب | مرگ | |
| Brain MRI | Brain MRI | برای تومورهای مغزی مناسب است در گرافی انجام شده پاتولوژی دیده نشده است. | 1.00 | 0.00 | |
| ECG | ECG | برای مسائل قلبی لازم است ECG انجام شده، مروری رویت نگردید. | 1.00 | 0.00 | |
| اطمینان بخشی | اطمینان بخشی | در اولین حمله کاربردی ندارد. | -1.00 | 0.00 | |
| تزریق هالوپریدول + بی پیریدون | تزریق هالوپریدول + بی پیریدون | قبل از تشخیص قطعی و رد مسائل طبی گزینه مناسبی نیست. | -1.00 | 0.00 | |
| چک D-Dimer | چک D-Dimer | جهت رد آمبولی ریه مناسب است. مشکلی وجود نداشت. | 1.00 | 0.00 | |
| تجویز آنتی دپرسانت های سروتونرژیک | تجویز آنتی دپرسانت های سروتونرژیک | در حال حاضر در اولین قدم اولویت نیست. | 0.00 | 0.00 | |
| اخذ شرح حال | اخذ شرح حال | بهترین گزینه برای تشخیص می باشد. | 2.00 | 0.00 | |
| بستری در بخش روانپزشکی | بستری در بخش روانپزشکی | قبل از رد مسائل طبی، گزینه مناسبی نیست. | -2.00 | 0.00 | |
| با تشخیص اختلال پانیک بیمار مرخص می شود. | با تشخیص اختلال پانیک بیمار مرخص می شود. | اولین حمله است و نیاز به بررسی بیشتر است. | -1.00 | 0.00 | |
| ارسال آزمایشات TSH و PTH | ارسال آزمایشات TSH و PTH | برای رد اختلالات تیرویید و پاراتیرویید که سالم بود. | 1.00 | 0.00 |
ب) در بیمار مورد نظر، کلیه بررسی های انجام شده پاراکلینیک طبیعی بود. در این مدت دو هفته ای، بیمار وزوز گوش، درد گردن، گریه، تپش قلب، احساس خفگی، تهوع و درد قفسه سینه را چندین بار تجربه کرده است و هیچ استرسوری قبل از حملات نداشته است. بیمار از بیرون رفتن و حضور در مکان هایی که قبلاً خیلی لذت می برده از ترس تکرار حملات امتناع می کند. در ارتباط با این بیمار موارد صحیح را انتخاب کنید.
| گزینه | بازخورد | نمره انتخاب | عدم انتخاب | مرگ | |
| بیمار مبتلا به Panic attack می باشد و نیاز به اقدام خاصی نیست. | بیمار مبتلا به Panic attack می باشد و نیاز به اقدام خاصی نیست. | -1.00 | 0.00 | ||
| بیمار مبتلا به panic disorder بوده و بهترین درمان، درمان دارویی است. | بیمار مبتلا به panic disorder بوده و بهترین درمان، درمان دارویی است. | 1.00 | 0.00 | ||
| بیمار مبتلا به minor depression disorder بوده و بهترین درمان rTMS است. | بیمار مبتلا به minor depression disorder بوده و بهترین درمان rTMS است. | -1.00 | 0.00 | ||
| خطر خود کشی در این افراد نادر است. | خطر خود کشی در این افراد نادر است. | -2.00 | 0.00 | ||
| بیمار هفت علامت از پانیک را دارد که نشانه شدت بیماری است. | بیمار هفت علامت از پانیک را دارد که نشانه شدت بیماری است. | -1.00 | 0.00 | ||
| داروهای آنتی دپرسانت سروتونرژیک درمان تأیید شده این اختلال است. | داروهای آنتی دپرسانت سروتونرژیک درمان تأیید شده این اختلال است. | 2.00 | 0.00 | ||
| تمام بنزودیازپین ها برای این اختلال تأیید FDA را دارند. | تمام بنزودیازپین ها برای این اختلال تأیید FDA را دارند. | -1.00 | 0.00 | ||
| شیوع این حملات در جامعه 4 درصد می باشد. | شیوع این حملات در جامعه 4 درصد می باشد. | 1.00 | 0.00 | ||
| داروهای محرک و برخی داروهای درمان آسم می تواند علائم مشابه ایجاد کنند. | داروهای محرک و برخی داروهای درمان آسم می تواند علائم مشابه ایجاد کنند. | 1.00 | 0.00 | ||
| زنان دو برابر مردان به این اختلال مبتلا می شوند. | زنان دو برابر مردان به این اختلال مبتلا می شوند. | 1.00 | 0.00 |
نمونه سوالات آزمون آسکی در رشته اورولوژی
اطفال – یورتروسل |
||||||||||||||||||||||||||||||||||||||||||||||||||||||||||||||||||||||||
| مادر باردار در سه ماهه دوم با سونوگرافی جنین دختر به شما مراجعه نموده است. در صورتیکه سایر قدامی خلفی لگنچه راست و چپ به ترتیب 10 و 3 میلی متر باشد. | ||||||||||||||||||||||||||||||||||||||||||||||||||||||||||||||||||||||||
الف) اقدام بعدی کدام است؟
|
برای دسترسی به نمونه سوالات بیشتر میتوانید از سامانه PMP/KFP موسسه رهپویان شریف بهره بگیرید. این سامانه فضای آزمون آسکی را برای داوطلبان محترم شبیه سازی کرده و دقیقا از همان سامانه وزارتخانه برای برگزاری آزمون بهره می گیرد.



